Clintonville Dental Group

Smile Gallery

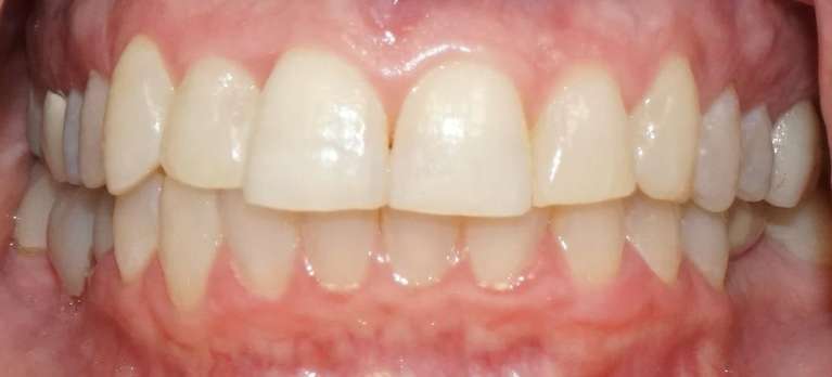
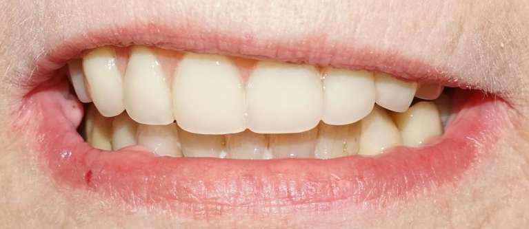
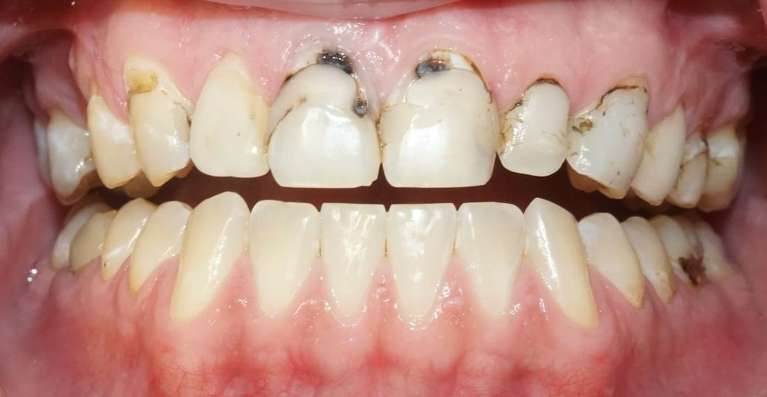
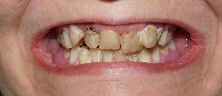
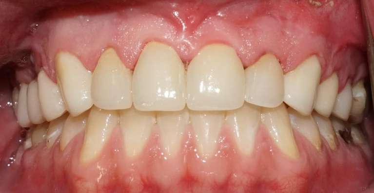
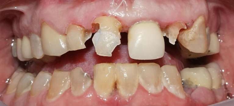
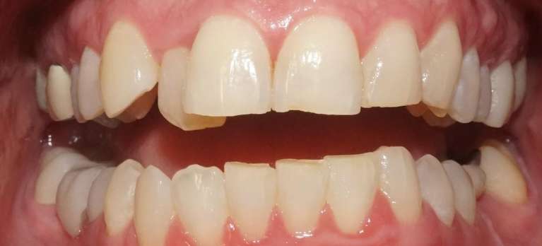
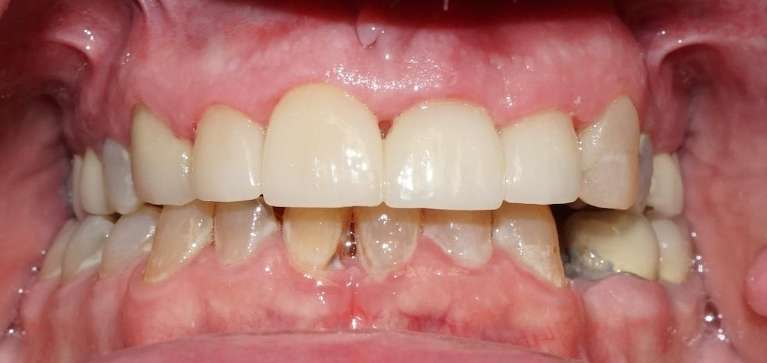
Our Smile Gallery showcases the life-changing results we’re honored to create for our patients. Here, you can see the artistry and precision our team brings to every treatment. Take a look and envision what’s possible for your own smile! 

Ready to Get Started?

Contact us today to book your consultation and start your journey to a smile you’ll love.
 

Not Finding What You Need?
If you have difficulty using our website, please email us or call us at (614) 261-7210
View the ADA Accessibility Statement
Privacy Policy