Clintonville Dental Group
Home
About
Our Team
Dr. Kevin Albert
Dr. Jim Haldeman
Dr. Gabrielle Berry
Technology
Practice Photos
Services
View All
Full Mouth Reconstruction
Smile Makeovers
BOTOX®
Clear Aligners
Sleep Apnea and Snoring Treatment
TMJ and Bruxism Treatment
Dental Implants
Veneers
Dermal Fillers
Crowns and Bridges
Smile Gallery
Testimonials
Patient Info
View Patient Info
Payment Plans
Financial
FAQs
Blog
Contact
Clintonville Dental Group
Request an Appointment
Like us on Facebook
Leave a Google Review
Instagram
(614) 261-7210
Clintonville Dental Group
4808 N High St
Columbus, OH 43214
Pay Online
Clintonville Dental Group
>
Smile Gallery
>
Orthodontics
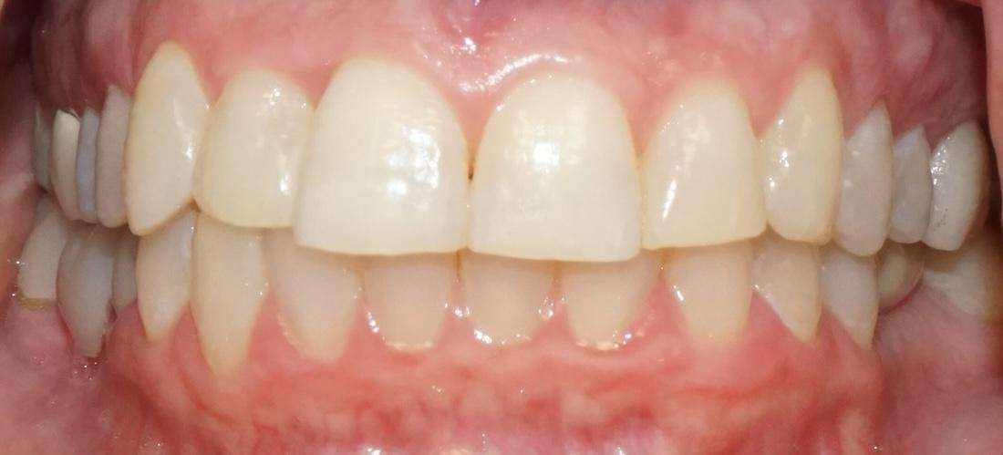
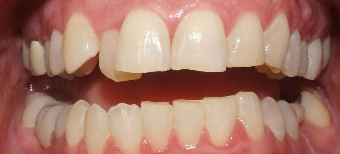
Orthodontics
Return to Smile Gallery
Previous
Next
Click image to see a larger picture
Before
After
Ready to Book an Appointment?
Contact Us
If you have difficulty using our website, please
email us
or call us at
(614) 261-7210
View the
ADA Accessibility Statement
Turn on ADA Views
OK!
×
×
Contact Us Today
Give Us A Call
Clintonville Dental Group -
(614) 261-7210
Send Us an Email
Request an Appointment
Contact Us
Ready to Schedule an Appointment?
Book Online
Have Questions? Contact Us:
Required Field
Your Name:
Phone:
Email:
Are you a new patient?:
Are you a?
New Patient
Current Patient
How would you like us to contact you?
Please choose
Email
Call
How did you hear about us?
Please choose
I'm an existing patient
Google/Bing
Mailer
Word of mouth
Social media
Other
Who Referred You?:
Appointment Preferences
Monday
Tuesday
Wednesday
Thursday
Friday
Your Message:
This site is protected by reCAPTCHA and the Google
Privacy Policy
and
Terms of Service
apply.
Sending...
×
This Patient's Experience
Loading Testimonial...
Loading Case...